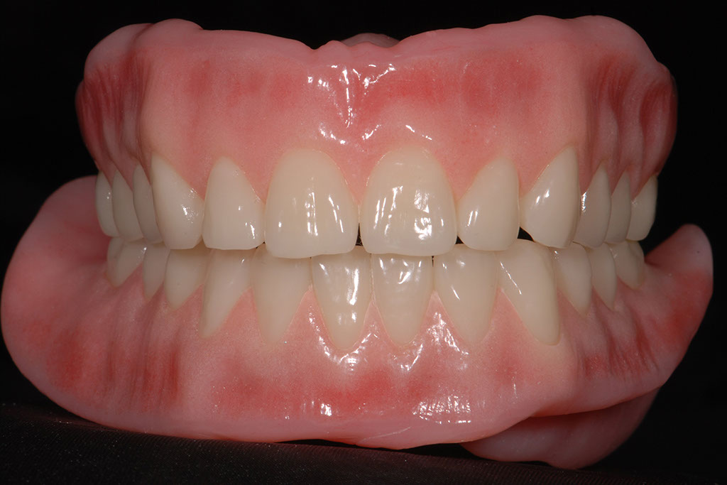
Dentures
Contact us
Your Content Goes Here
07 3852 1195
07 3852 3098
G Floor, 140 Brunswick St
Fortitude Valley QLD 4006
PO Box 1444 Fortitude Valley QLD 4006
Dental Professionals
Your Content Goes Here
This information is intended for dental health professionals only. Please contact your dental health practitioner on potential treatment options suitable for your specific requirements.









